Türkiye'de her yıl 45 bin yeni vaka! Bu illere dikkat: Risk daha fazla!

Galerinin tamamı için tıklayınız

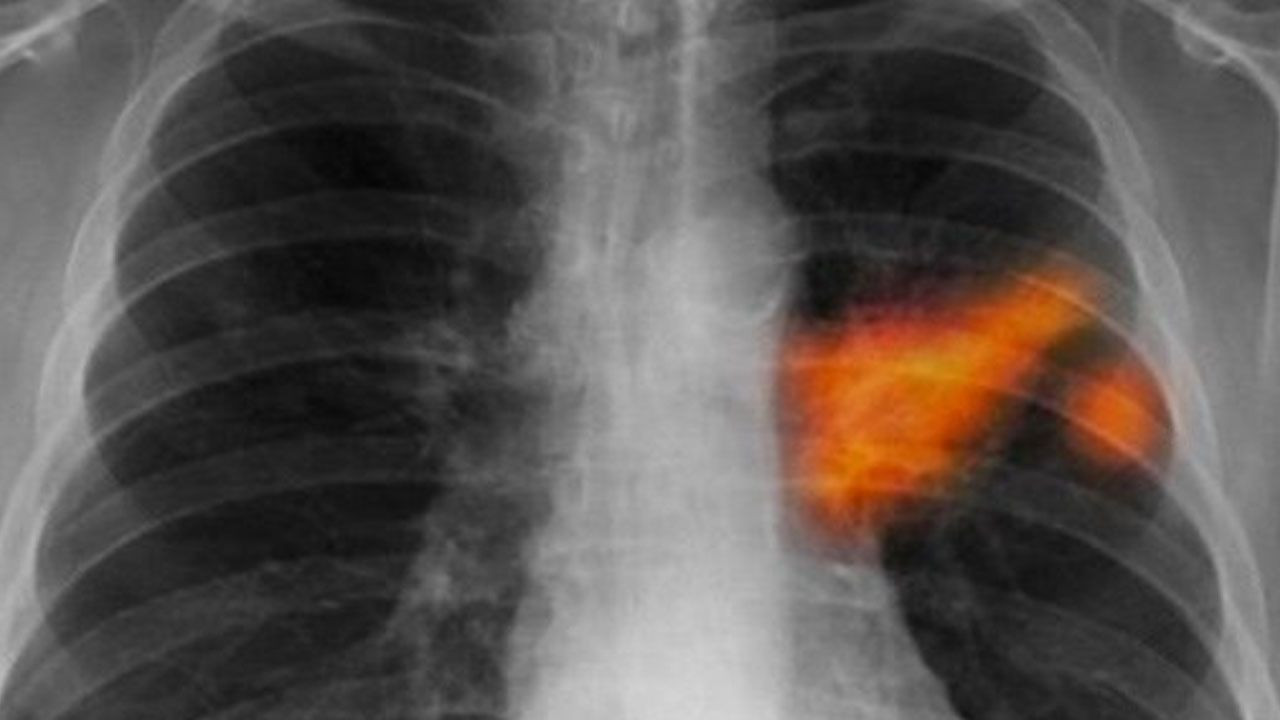
Çapı 2,5 mikrometreden daha küçük partikül maddelerin PM2,5 olarak adlandırıldığını, gözle görülemeyecek kadar küçük olan bu maddelerin akciğerlerin en uç noktalarına kadar ulaşabildiğini ve hatta solunduktan sonra kana karışabildiğini belirten Laçin, şöyle devam etti: